-
허리 통증과 뻣뻣함
-
엉덩이 및
다리 저림과 통증 -
허리 뒤로 젖힐 시
심한 통증 -
다리 감각 둔화 및
가늘어짐 
보행의 어려움

다리 전체 힘 빠짐
허리 통증과 뻣뻣함
엉덩이 및
다리 저림과 통증
허리 뒤로 젖힐 시
심한 통증
다리 감각 둔화 및
가늘어짐

보행의 어려움

다리 전체 힘 빠짐
선천적으로 좁은 척추관
노화로 인한 퇴행성 변화
척추 주변 인대의
신경 압박
척추전방위증에 의한
협착
허리디스크 vs 척추관협착증
자생의 비수술 치료는 수술 치료와 비교해 통증 및 기능 개선에서 큰 차이가 없었으며, 통증 완화와 장기 효과면에서 우수한 것으로 나타났습니다.
치료 후 허리 통증 개선 및
3년 후에도 호전 유지
치료 후 다리 통증 개선 및
3년 후에도 호전 유지
치료 후 허리 기능 호전 및
3년 후에도 호전 유지
치료 3년 후에도
환자 92.5%가 '호전'되었다고 응답
치료 3년 후에도
환자 89.4%가 '만족'했다고 응답
청파전H 투여 후, 척수 조직 내
염증성 물질 및 통증 감소
청파전H 투여 후, 척추관협착증으로 떨어진
보행 기능 정상에 가깝게 회복
신바로약침 투여 후,
염증 물질 및 통증 감소 확인
신바로약침 투여 후,
척추관협착증으로 떨어진 보행 능력 회복
신바로약침 투여 후,
척추관협착증으로 떨어진 감각 이상 개선
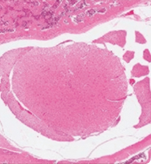
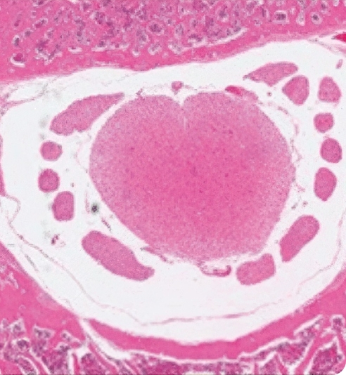
정상 쥐
척추관협착증 유도 쥐
신바로2 약침 투여 쥐
신바로약침 투여 시, 손상된 척추관 및
척수 형태가 정상에 가깝게 회복
Before
After
허리 통증과 양측 둔부부터 허벅지, 발목 부위 저리는 증상으로 내원하셨습니다.
2025.05.09 ~ 2025.12.18
Before
After
양측 허리 묵직하고 뻐근한 통증, 우측 다리까지 이어지는 저림 증상 및 통증으로 내원하셨습니다.
2025.01.21 ~ 2025.11.18
Before
After
양측 허리 통증과 좌측 허벅지까지 동반되는 저림증상 있고, 앉거나 걸을 때 통증 심화되어 내원하셨습니다.
2024.12.11 ~ 2025.11.01
Before
After
허리부터 골반이 묵직하고 뻐근한 통증, 우측 허벅지까지 이어지는 저림 증상으로 내원하셨습니다.
2025.01.20 ~ 2025.10.25
Before
After
양측 허리부터 골반 묵직한 통증, 좌측 다리 외측까지 이어지는 당기는 통증으로 내원하셨습니다.
2503.04.01 ~ 2509.11.01
Before
After
허리부터 골반 및 우측 허벅지에서 발가락까지 묵직한 통증과 저림 발생하여 내원하셨습니다.
2022.07.22 ~ 2025.08.18
Before
After
좌측 골반 및 종아리부터 발까지 이어지는 저림과 통증으로 내원하셨습니다.
2023.10.03 ~ 2025.08.14
Before
After
양측 허리부터 골반까지 묵직한 통증, 우측 다리 방사통이 심하여 내원하셨습니다.
2023.05.26 ~ 2025.08.16
Before
After
양측 허리의 묵직한 통증 및 기침 시 증상이 심화되어 내원하셨습니다.
2024.12.09 ~ 2025.05.24
Before
After
양측 허리부터 좌측 다리까지 이어지는 저림과 통증으로 걷기 힘들어 내원하였습니다.
2024.11.22 ~ 2025.05.16
치료기간

염좌/경증 디스크1~2주 이내
조직 손상이 적은 단순 염좌 및 경증 디스크에 대한 1~2주 내 통증 완화 목표 치료

일반 디스크2~3주 이내
2~3주 내 통증 감소 후 손상 조직 회복과 강화를 위한 단계별 치료

중증 디스크2개월 이내
광범위한 조직 손상에 따른 일정 기간 이상 치료 및 2개월 내 일상 복귀 목표 치료

협착증, 퇴행성디스크 등 중증 척추 질환2개월 이상
일상생활에 지장 없는 통증 수준 유지를 위한 집중 치료 후 지속적인 관찰 치료
오랜 시간 동안 진행되어온 퇴행성 척추질환(퇴행성디스크, 척추관 협착증), 뼈의 구조적인 이상(척추분리증, 척추전방전위증, 척추이분증) 등은 병의 진행 상태에 따라 치료 기간이 달라질 수 있습니다.
건강가이드
더보기